Çocuklarda karın şişliğine dikkat! Uzmanı uyardı: Hayati olabilir

Çocuklarda karın bölgesinde fark edilen şişlikler, sertlikler ya da ele gelen kitleler ailelerde büyük bir panik yaratabiliyor. Ancak uzmanlara göre bu panik kimi zaman hayat kurtarıcı bir uyarıya dönüşüyor. Çünkü çocukluk çağında sık görülen bazı kitleler, nöroblastom ve Wilms tümörü gibi ciddi hastalıkların ilk habercisi olabiliyor.
Sinem Paksoy
Sinem Paksoy – Posta.com.tr/ Çocuk Cerrahisi Uzmanı Doç. Dr. Hakan Kocaman, Posta.com.tr’ye yaptığı açıklamada çocukluk çağının en sık görülen iki solid tümörü olan nöroblastom ve Wilms tümörü hakkında merak edilenleri anlattı.
Erken tanı konulduğunda tedavi sürecinin çok daha olumlu ilerlediğini vurgulayan uzman isim, ebeveynlerin çocuklarında gözlemledikleri küçük değişiklikleri bile ciddiye alması gerektiğini söylüyor. Bu nedenle karın içinde hissedilen herhangi bir anormallik, açıklanamayan kilo kaybı, halsizlik ya da idrar değişikliklerinin gecikmeden değerlendirilmesi büyük önem taşıyor.

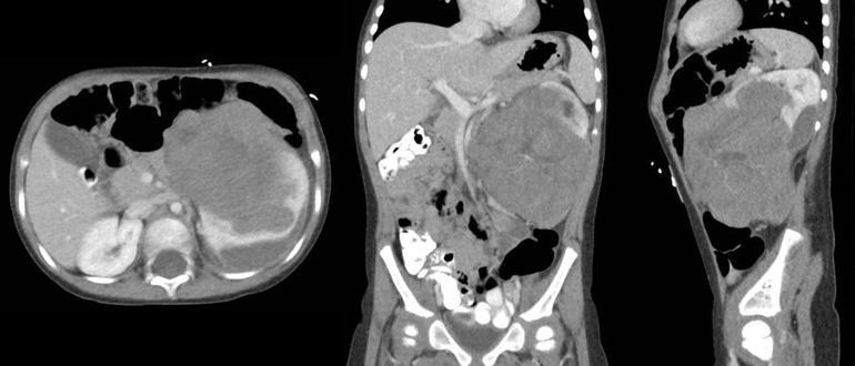
“NÖROBLASTOM BÖBREK ÜSTÜ BEZİNDEN GELİŞEN SİNSİ BİR TÜMÖR”
Doç. Dr. Kocaman, nöroblastomun çoğunlukla böbrek üstü bezinde ortaya çıktığını, ancak göğüs, boyun veya pelvis bölgesinde de görülebileceğini belirtiyor:
“Bu tümör en sık 5 yaş altındaki çocuklarda tespit ediliyor. Kitle büyüklüğüne göre belirtiler değişebiliyor. Bazen karında ele gelen sertlik, bazen iştahsızlık, halsizlik ya da göz çevresinde morluklarla karşımıza çıkabiliyor.”
Nöroblastomun bazı durumlarda hormon benzeri maddeler salgılayarak terleme, tansiyon yüksekliği ve çarpıntı gibi bulgular oluşturabileceğini de ekliyor.

TANIDA GÖRÜNTÜLEME VE İDRAR TESTLERİ KRİTİK
Kocaman, tanı sürecinde ultrasonografi, MR ve BT gibi görüntüleme yöntemlerinin kullanıldığını, ayrıca idrarda ölçülen belirli maddelerin nöroblastom açısından önemli ipuçları verdiğini ifade ediyor:
“Kesin tanı mutlaka tümör dokusunun patolojik incelemesiyle konur.”

“WILMS TÜMÖRÜ ÇOCUKLARDA EN SIK GÖRÜLEN BÖBREK KAYNAKLI TÜMÖRDÜR”
Wilms tümörünün genellikle 3–4 yaş civarında ortaya çıktığını söyleyen uzman doktor, çoğu vakanın ebeveynlerin karında fark ettiği kitleyle hastaneye başvurduğunu anlatıyor:
“Karında şişlik, kanlı idrar, yüksek tansiyon ve iştahsızlık en bilinen belirtiler. Bazı çocuklarda uzun süre hiçbir belirti vermeden büyüyebiliyor. Bu nedenle karında ele gelen herhangi bir kitle mutlaka değerlendirilmelidir.”
Tanıda ilk adımın ultrason olduğunu belirtmesinin ardından MR, BT ve kan tahlillerinin uygulandığını, kesin tanının yine patolojik inceleme ile konduğunu vurguluyor.
TEDAVİDE CERRAHİ VE KEMOTERAPİ BİRLİKTE PLANLANIYOR
Her iki tümörde de tedavi planının çocuğun durumuna, tümörün evresine ve patoloji sonuçlarına göre şekilleniyor.
“Cerrahi, kemoterapi ve bazı özel durumlarda radyoterapi tedavinin bir parçası olabilir. Çocuk cerrahisi, onkoloji ve radyoloji ekipleri birlikte multidisipliner bir süreç yürütür.”

“AİLELER SÜRECİN HER AŞAMASINDA BİLGİLENDİRİLMELİ”
Çocuk cerrahisi pratiğinde her çocuğun durumunun ayrı değerlendirildiğini vurgulayarak sözlerini şöyle tamamlıyor:
“Ailelere ameliyat süreci, seçenekler, takip planı gibi tüm aşamalar detaylı şekilde anlatılır. Buradaki temel amaç, hem çocuğun tedavi sürecini en doğru şekilde yönetmek hem de aileyi her aşamada bilgilendirerek süreci birlikte yürütmektir.”
Her 100 kişiden birinde görülüyor! Ölüm oranı çok yüksek
Bilim dünyasında umut vaat eden araştırma: Zayıflama iğneleri Alzheimer tedavisine ışık tutabilir!
Uzmanı uyardı: Mutfaktaki görünmez tehlike
Tünellerde çalışanlar risk altında: Karbonmonoksit tehlikesi büyüyor
Menopoz döneminde kış aylarına dikkat: Soğuk hava belirtileri artırıyor





